Arq Bras Cardiol: Imagem cardiovasc. 2025; 38(2): e20240128
Como Eu Faço Avaliação Ecocardiográfica nos Pacientes Pediátricos com Doença Falciforme
Resumo
A Doença Falciforme (DF) é a doença genética hereditária de maior prevalência no mundo, e as complicações cardiovasculares são uma das principais causas de óbito na população falcêmica.
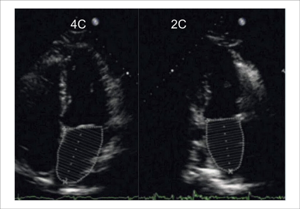
Diante disso, o reconhecimento precoce dos marcadores da miocardiopatia falcêmica, através dos parâmetros ecocardiográficos (Figura Central), é fundamental para a conduta adequada da condição cardiovascular destes doentes.
Essa revisão abordará de forma objetiva e didática o uso da ecocardiografia em pacientes pediátricos com DF, mostrando as principais particularidades nesta doença e a importância do acompanhamento regular.
Palavras-chave: Anemia Falciforme; Criança; Ecocardiografia
320

