Arq Bras Cardiol: Imagem cardiovasc. 2023; 36(1): e20230006

Como Eu Faço a Avaliação Pós-Intervenções Tricúspides: Dicas e Truques

Bruna Morhy Borges Leal , Arthur Cortez , Lucas Velloso , Renata de

DOI: 10.36660/abcimg.20230006

Resumo

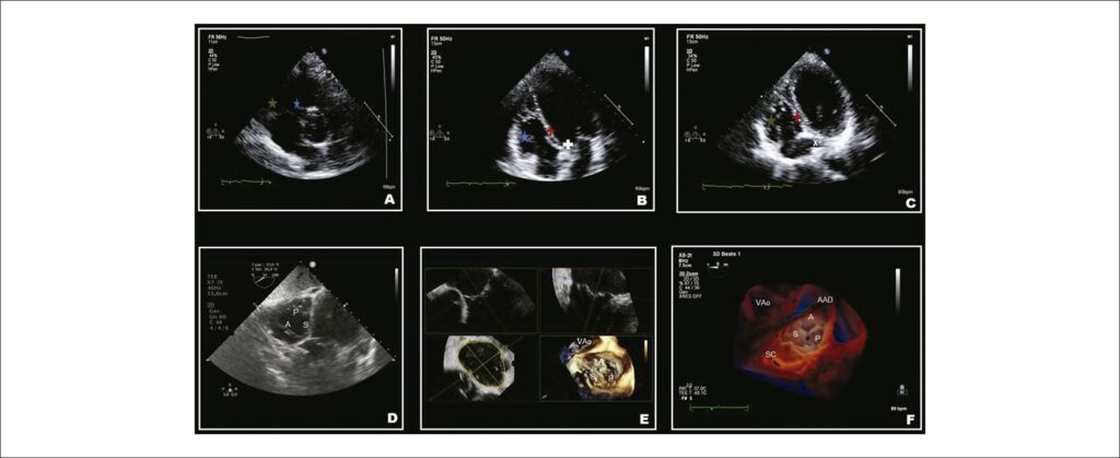
A regurgitação tricúspide (RT) importante está associada à alta morbidade e mortalidade. Como o tratamento cirúrgico da RT isolada tem sido associado à alta mortalidade, as intervenções transcateter na valva tricúspide (VT) têm sido utilizadas para o seu tratamento, com risco relativamente mais baixo. Há um atraso na intervenção da RT e provavelmente está relacionado a uma compreensão limitada da anatomia da VT e do ventrículo direito, além da subestimação da gravidade da RT. Nesse cenário, faz-se necessário o conhecimento anatômico abrangente da VT, a fisiopatologia envolvida no mecanismo de regurgitação, assim como a sua graduação mais precisa. A VT tem peculiaridades anatômica, histológica e espacial que fazem a sua avalição ser mais complexa, quando comparado à valva mitral, sendo necessário o conhecimento e treinamento nas diversas técnicas ecocardiográficas que serão utilizadas frequentemente em combinação para uma avaliação precisa.

Esta revisão descreverá a anatomia da VT, o papel do ecocardiograma no diagnóstico, graduação e fisiopatologia envolvida na RT, as principais opções atuais de tratamento transcateter da RT e a avaliação do resultado após intervenção transcateter por meio de múltiplas modalidades ecocardiográficas.

Como Eu Faço a Avaliação Pós-Intervenções Tricúspides: Dicas e Truques

Comentários

Acessar o conteúdo