Arq Bras Cardiol: Imagem cardiovasc 2021; 34(4): eabc104
Achado Incidental de Veia Renal Retroaórtica “Fenômeno de Quebra-Nozes Posterior” Associada à Trombose
DOI: 10.47593/2675-312X/20213404eabc104
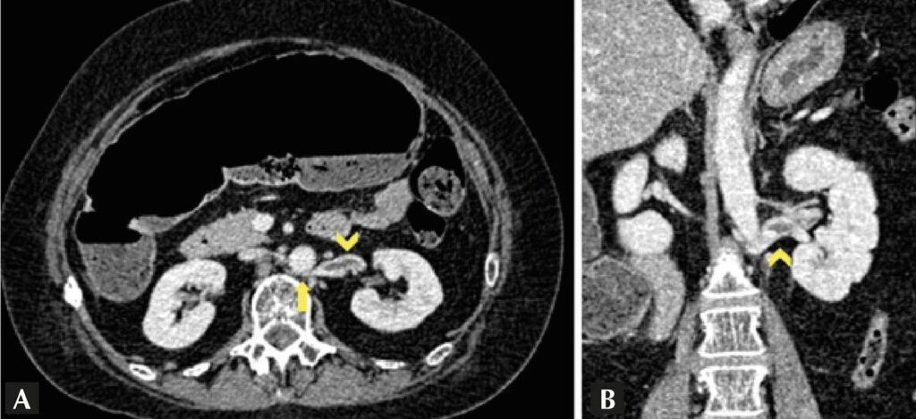
Paciente do sexo feminino, 56 anos, deu entrada no pronto atendimento com quadro de abdome agudo obstrutivo. Negava comorbidades ou cirurgias prévias. Foi submetida à tomografia de abdome que evidenciou volvo de ceco e achado incidental de trombose crônica recanalizada de veia renal esquerda com trajetória retroaórtica (fenômeno de “quebra-nozes” posterior). Foi submetida à laparotomia exploradora com colectomia direita e ileo transverso anastomose. Após evolução gradual da dieta, recebeu alta hospitalar no décimo dia de pós-operatório. No seguimento ambulatorial, negava sintomas de dor abdominal ou em flanco, e os exames laboratoriais não demonstraram indícios de proteinúria ou hematúria. Tendo em vista paciente com achado incidental de fenômeno de quebra-nozes, foi optado por tratamento conservador e seguimento periódico.
A veia renal esquerda retroaórtica é uma variação anatômica rara e, na maioria dos casos, assintomática, sendo denominada de “fenômeno de quebra-nozes posterior”. Quando apresenta sintomas, utiliza-se o termo “síndrome do quebra-nozes posterior”., A prevalência exata é desconhecida, porém, sabe-se que essa afecção é mais comum em pacientes do sexo feminino entre a terceira e quarta décadas. O quadro compressivo pode resultar em hipertensão venosa com dilatação da veia renal, varizes ureterais e de pelve renal, manifestando-se como hematúria macro e microscópica, dor no flanco e proteinúria., O tratamento conservador é empregado para pacientes assintomáticos ou oligossintomáticos, como descrito nesse caso.
[…]
Palavras-chave: Achados Incidentais; Síndrome do Quebra-Nozes; Trombose
1.604

