Arq Bras Cardiol: Imagem cardiovasc 2022; 35(1): eabc225
Achado Incidental de Síndrome de Compressão da Veia Ilíaca
DOI: 10.47593/2675-312X/20223501eabc225
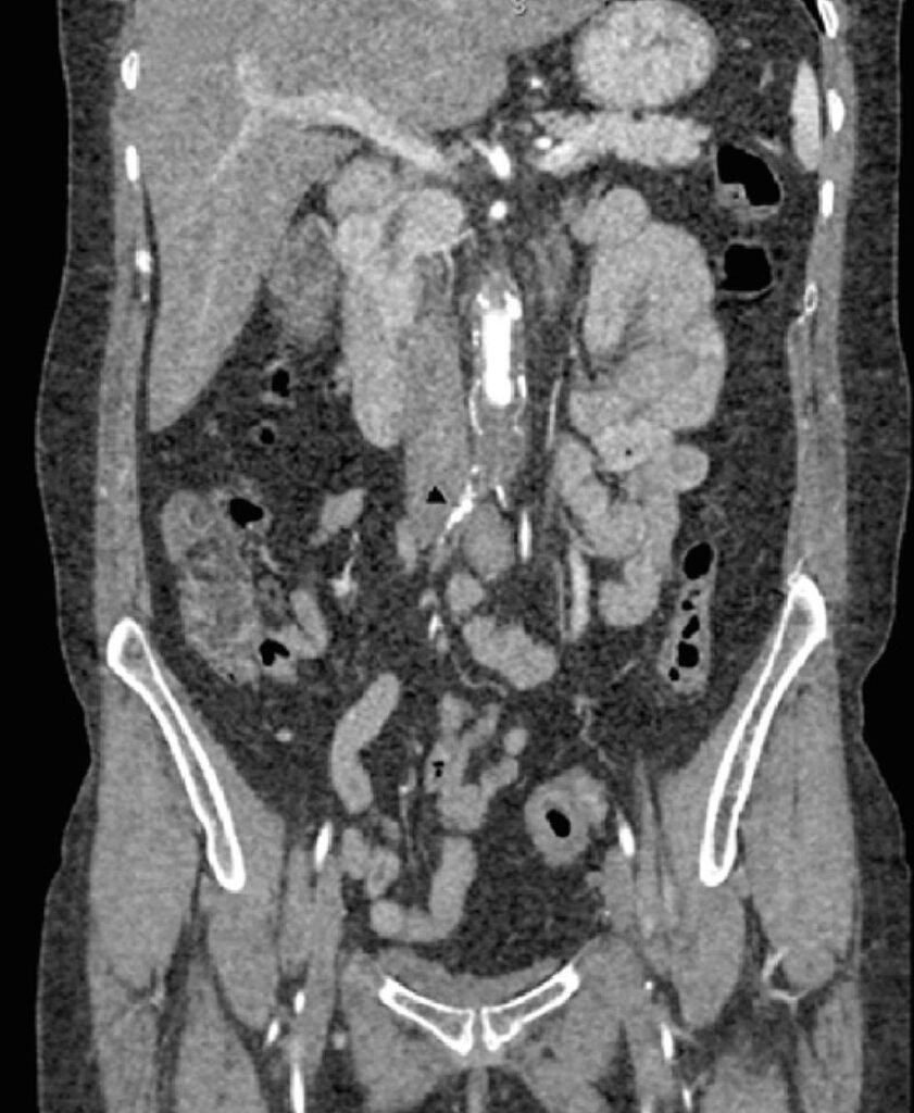
Mulher de 49 anos apresentou histórico progressivo de claudicação intermitente bilateral nas nádegas e panturrilha, atingindo uma distância de caminhada de 10 m. Era tabagista e tinha hipertensão. Não havia histórico de trombose venosa, edema de membros inferiores, veias varicosas nem sinais de doença venosa crônica. Ausência de pulsos femorais. A angiotomografia computadorizada evidenciou oclusão da aorta infra-renal com recanalização de ambas as artérias ilíacas. Curiosamente, a artéria ilíaca comum direita comprimia a veia ilíaca comum esquerda, que se encontrava aumentada ( ). Observavam-se colaterais pélvicos dilatados à esquerda: veias uterinas e veia gonadal ( ). Não havia compressão na veia renal esquerda.
[…]
307

