Arq Bras Cardiol: Imagem cardiovasc 2022; 35(2): eabc286
Primary Cardiac Lymphoma: Role of Imaging Multimodality in Diagnosis
DOI: 10.47593/2675-312X/20223502eabc286
Abstract
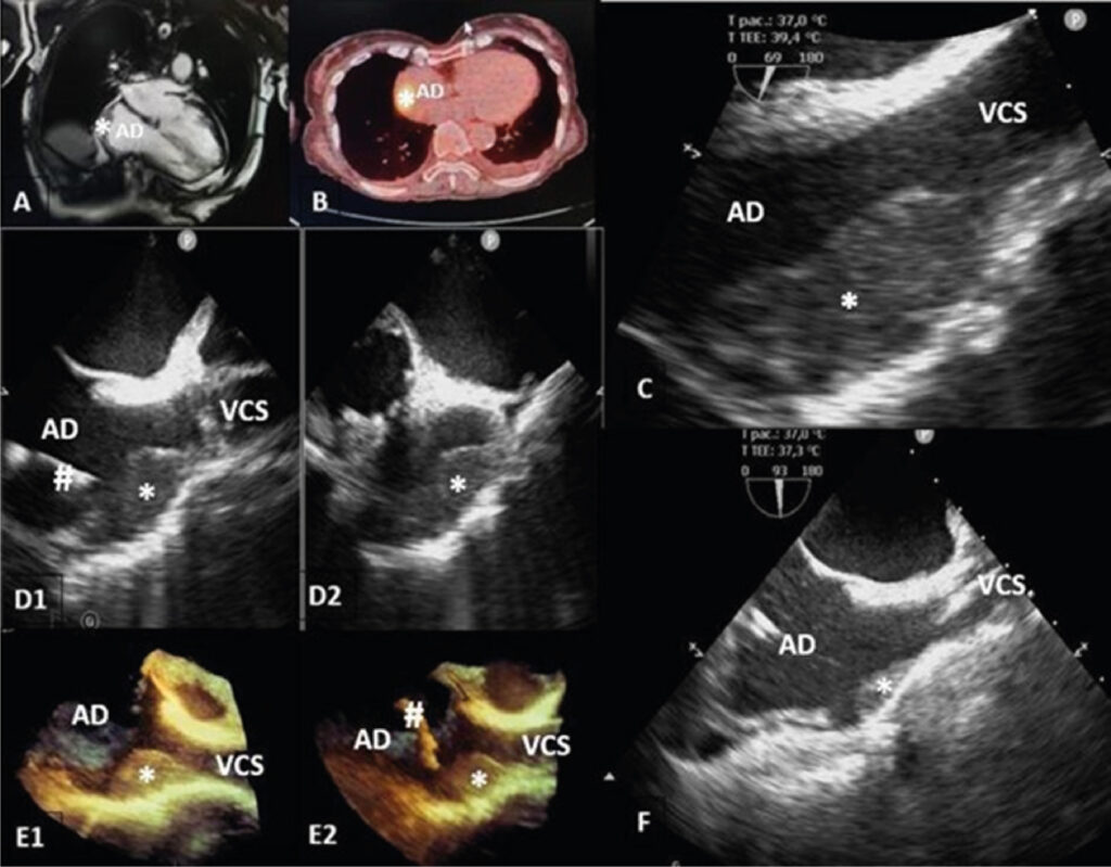
Intracardiac masses are a diagnostic challenge since their symptoms can be common to cardiovascular pathologies. Some methods, whether invasive or not, enable differential diagnosis, histological confirmation, and adequate treatment. To better understand the importance of imaging multimodality and the approach to managing cardiac tumors, we investigated a case of a primary cardiac lymphoma in which the multidisciplinary approach allowed rapid diagnosis and treatment, including of intercurrences, with a promising initial response despite fatal progression due to severe acute respiratory syndrome coronavirus 2 infection.
Keywords: Cardiovascular Diseases; Echocardiography; Lymphoma
373

