ABC Imagem Cardiovasc. 2025; 38(3): e20250071

Long-term Follow-Up of a Patient with FLNC Gene Mutation-Related Cardiomyopathy: A Case Report

Isabela Bispo Santos da Silva , Bruno Soares da Silva , Antonio Tito Paladino , Bruno Normande , Thamara Carvalho , Ludhmila Abrahão

DOI: 10.36660/abcimg.20250071i

Introduction

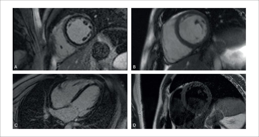
Heart Failure (HF) is estimated to affect approximately 26 million people worldwide., In Brazil, prevalence is high, with about 2 million diagnosed patients and an incidence of roughly 240,000 new cases every year. Between 2011 and 2021, more than 2.5 million HF-related hospitalizations were recorded in the Brazilian Unified Health System (SUS), underscoring the relevance of the disease in the national context. These figures highlight the need for early diagnostic strategies and etiological definition for the appropriate management of these patients. Establishing an etiological diagnosis is often challenging but essential to provide disease-specific treatments and improve prognosis. Diagnosis encompasses multimodality cardiac imaging, with Cardiac Magnetic Resonance imaging (CMR) being a useful tool for evaluating non-ischemic cardiomyopathy phenotypes and establishing an etiological diagnosis.

[…]

Long-term Follow-Up of a Patient with FLNC Gene Mutation-Related Cardiomyopathy: A Case Report

Comments

Skip to content