Arq Bras Cardiol: Imagem cardiovasc. 2021; 34(1): eabc152
Lipoma in the Interventricular Septum – Case Report
DOI: 10.47593/2675-312X/20213401eabc152
Abstract
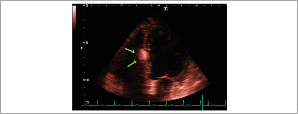
Primary cardiac tumors are a rare but mostly benign pathology found in up to 0.03% of autopsies. Among these benign tumors, with an incidence of 8.5%, lipomas are often located in the interatrial septum. When located in the interventricular septum, they are considered an even more unusual pathology with an unknown real prevalence. In most cases, the diagnosis is made incidentally on cardiovascular imaging and confirmed by histopathological examination. They are more commonly asymptomatic or feature nonspecific symptoms, but these lipomas can progress with arrhythmias, valve dysfunction, heart failure, and death, which highlights the importance of cardiovascular imaging methods in the differential diagnosis and to guide appropriate therapy. This report describes the case of a patient with an incidental echocardiographic finding of a cardiac mass located in the interventricular septum, followed by cardiac magnetic resonance imaging to better characterize the lesion and demonstrate its characteristics compatible with lipoma.
315

