ABC Imagem Cardiovasc. 2025; 38(4): e20250051
Intramyocardial Cardiac Tumor: A Case Report
DOI: 10.36660/abcimg.20250051i
Introduction
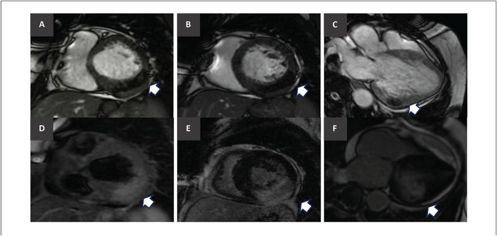
Primary cardiac tumors are rare entities, approximately 75% of which are benign, with myxoma as the most common type., Only about 15% of primary cardiac tumors are malignant, predominantly sarcomas. In contrast, metastatic cardiac involvement is relatively frequent and has been identified in up to 9% of patients who died from cancer.
Clinical manifestations are more closely related to tumor location than to histopathological classification. They may result from embolic phenomena, intracardiac obstruction with signs of heart failure (HF), valvular involvement, myocardial invasion with alterations in contractile function and electrical conduction, and pericardial involvement with the risk of effusion and cardiac tamponade, among other presentations.
[…]
Keywords: Cardiovascular Diseases; Case Reports; Heart neoplasms
142

