Arq Bras Cardiol: Imagem cardiovasc 2023; 36(3): e20230025
Giant Right Coronary Artery Aneurysm with Arteriovenous Fistula
DOI: 10.36660/abcimg.20230025i
Introduction
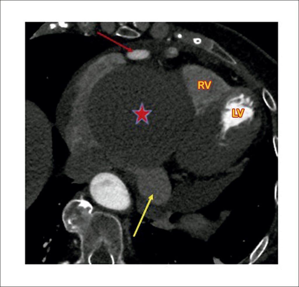
Coronary artery aneurysm (CAA) is defined as a dilation that exceeds the normal diameter of the adjacent artery or the diameter of the patient’s largest coronary artery by 1.5 times. Some authors consider a giant coronary aneurysm when the diameter is > 20 mm, whereas the American Heart Association defines giant aneurysms as those > 8 mm. Giant CAA is a rare pathology with an approximate incidence of 0.02%. We report a case of giant right coronary artery aneurysm with fistula to the coronary sinus, appearing as a giant “mass”.
[…]
359

