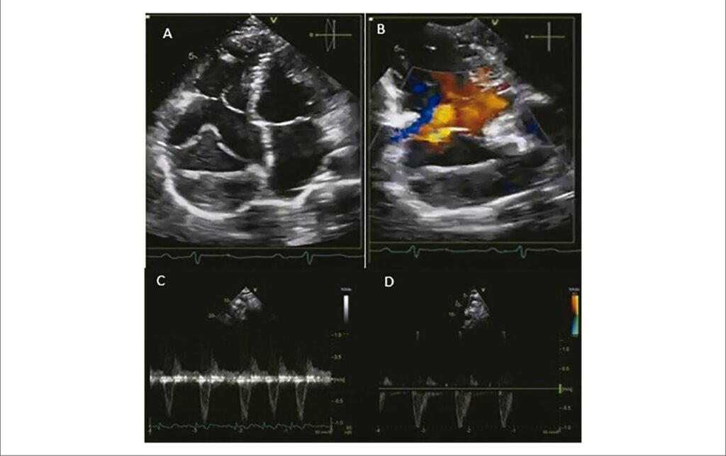
The authors report the case of a 29-year-old, female patient with palpitations, chest pain, and dyspnea on exertion. The patient was diagnosed with right coronary fistula and underwent percutaneous correction of the fistulous tract with an Amplatzer prosthesis.
Coronary-cavitary Fistula with Aneurysm in its Path: Case Report of Percutaneous Treatment
JesusCA, CorreiaEB, SilvaLML, PintoIMF, AndradeMDRM, AlencarAL, RibeiroMS. Coronary-cavitary Fistula with Aneurysm in its Path: Case Report of Percutaneous Treatment. Arq Bras Cardiol: Imagem cardiovasc. 2023;36(1):e364.
Jesus,Carlos Alberto de; Correia,Edileide de Barros; Silva,Líria Maria Lima da; Pinto,Ibraim Masciarelli Francisco; Andrade,Mercedes Del Rosario Maldonado; Alencar,Andrezza Lobo de; Ribeiro,Marcelo Silva. Coronary-cavitary Fistula with Aneurysm in its Path: Case Report of Percutaneous Treatment. Arq Bras Cardiol: Imagem cardiovasc., v. 36, n. 1, e364, Mar. 2023.
Jesus,C.A. , Correia,E.B., Silva,L.M.L. , Pinto,I.M.F., Andrade,M.D.R.M., Alencar,A.L. , & Ribeiro,M.S. (2023). Coronary-cavitary Fistula with Aneurysm in its Path: Case Report of Percutaneous Treatment. Arq Bras Cardiol: Imagem cardiovasc.,36(1), e364.
Jesus,Carlos Alberto de and Correia,Edileide de Barros and Silva,Líria Maria Lima da and Pinto,Ibraim Masciarelli Francisco and Andrade,Mercedes Del Rosario Maldonado and Alencar,Andrezza Lobo de and Ribeiro,Marcelo Silva. Coronary-cavitary Fistula with Aneurysm in its Path: Case Report of Percutaneous Treatment. Arq Bras Cardiol: Imagem cardiovasc. [online]. 2023, vol. 36, n. 1, [cited 2026-04-23], e364. Available from: <https://www.abcimaging.org/article/coronary-cavitary-fistula-with-aneurysm-in-its-path-case-report-of-percutaneous-treatment/>. ISSN .