Arq Bras Cardiol: Imagem cardiovasc 2021; 34(4): eabc220

Coronary–Cavitary Fistula of the Circumflex Coronary Artery to the Left Atrium as a Probable Etiology of Heart Failure: A Case Report

Roberto Carlos Alvarez , Vitor Coutinho , Santiago Andrés Castro , Vagner Madrini , José Felix Alvarez

DOI: 10.47593/2675-312X/20213404eabc220

Abstract

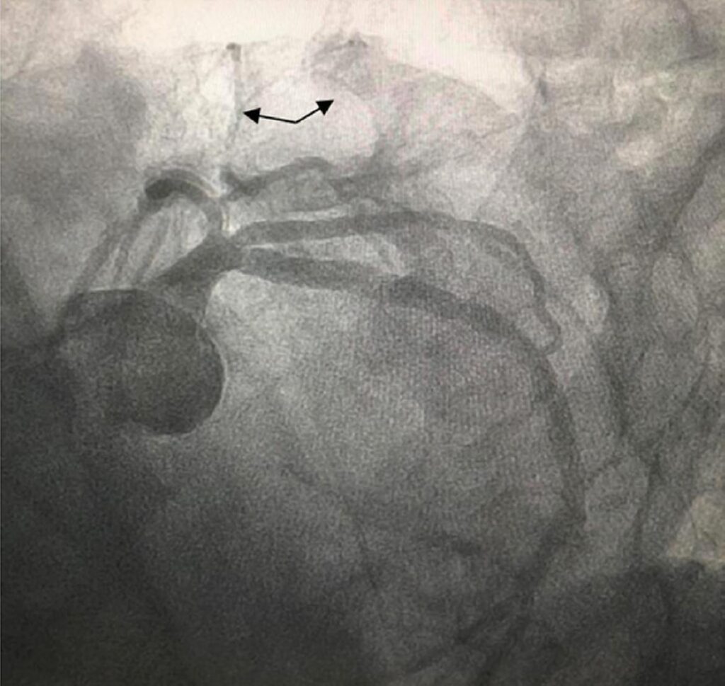
Coronary artery fistulas have a low incidence and are often diagnosed by echocardiography or coronary computed tomography angiography, although coronary angiography is the gold standard. They commonly originate in the right coronary artery, with drainage to low-pressure chambers being the most frequent finding. Treatment can be expectant, surgical, or percutaneous. This report describes a case of a rare presentation of heart failure due to a fistula of the circumflex coronary artery with drainage into the left atrium.

Coronary–Cavitary Fistula of the Circumflex Coronary Artery to the Left Atrium as a Probable Etiology of Heart Failure: A Case Report

Comments

Skip to content