Arq Bras Cardiol: Imagem cardiovasc. 2023; 36(4): e20230094
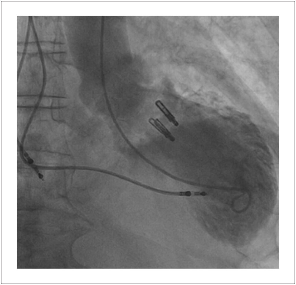
Takotsubo Syndrome After Percutaneous Mitral Valve Repair With Mitraclip®: A Case Report
DOI: 10.36660/abcimg.20230094i
Introduction
Takotsubo syndrome (TTS), also known as stress cardiomyopathy or broken heart syndrome, is a condition whose pathophysiology is not well established, but which results from multiple factors that act synergistically in a setting of stress perception and cardiocirculatory response. It was first described in 1990, and the disproportionate and excessive increase in serum catecholamines is known to play a central role in its pathogenesis by favoring the occurrence of complications. Although rare, TTS deserves attention due to its inherent risk of decompensated heart function.,
[…]
Keywords: Takotsubo Cardiomyopathy
808

