Arq Bras Cardiol: Imagem cardiovasc. 2021; 34(3): eabc190
Retroaortic Circunflex Coronary Artery Appearance on Transesophageal Echocardiography
DOI: 10.47593/2675-312X/20213403eabc190
Abstract
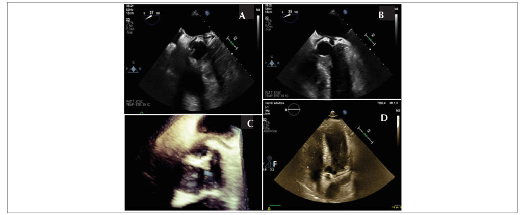
The retroaortic anomalous coronary (RAC) sign is an unknown finding that has been described on transthoracic echocardiography as an echogenic tubular structure located on the atrial side of the atrioventricular sulcus. Here we present a case in which the RAC sign on transesophageal echocardiography (TEE). Knowledge of RAC sign and its evaluation on TEE increases sensitivity and specificity and provides the opportunity to assess high-risk anatomic features that are important in evaluating the risk of sudden death.
370

