Arq Bras Cardiol: Imagem cardiovasc. 2022; 35(1): eabc285
Myocardial Involvement in Chagas Disease: From the Perspective of Cardiovascular Magnetic Ressonance Assessment
DOI: 10.47593/2675-312X/20223501eabc285
Abstract
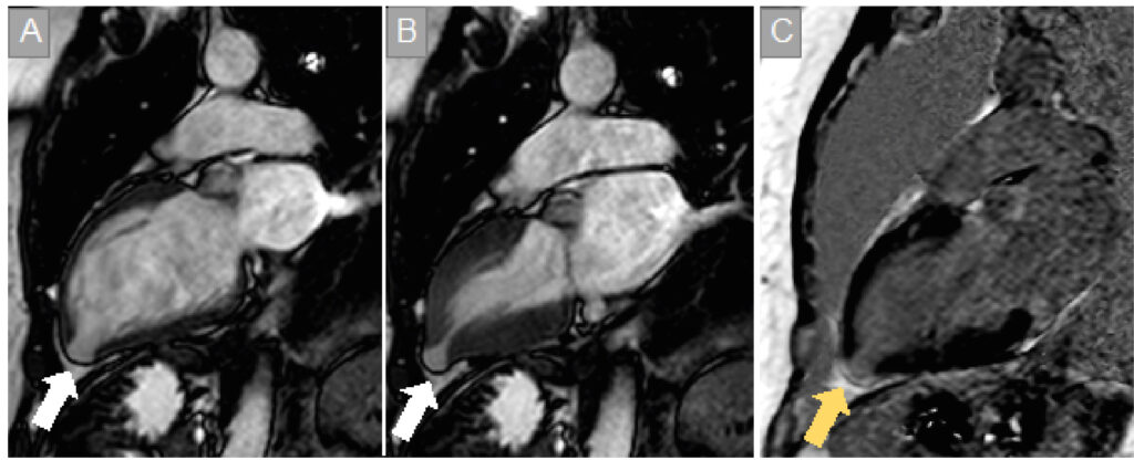
Chagas disease represents an important public health problem, especially in endemic countries in Latin America. Chronic cardiomyopathy is its most frequent clinical presentation. Myocardial involvement has a multifactorial pathogenesis and can lead to heart failure, thromboembolic events, arrhythmias, and sudden death. In this context, cardiovascular magnetic resonance imaging (CMR) is an excellent noninvasive method for investigating myocardial damage and understanding the mechanisms and consequences of these injuries. CMR has high spatial resolution and tissue characterization capacity, enabling a highly reliable morphofunctional analysis and the identification of risk markers for adverse events in patients with Chagas disease. This exam is very useful for the diagnosis and follow-up of these patients in the routine clinical setting.
706

