Arq Bras Cardiol: Imagem cardiovasc 2023; 36(2): e20230034
My Approach To: Vascular Ultrasonography in Dolichoarteriopathies of the Carotid Arteries
DOI: 10.36660/abcimg.20230034i
Abstract
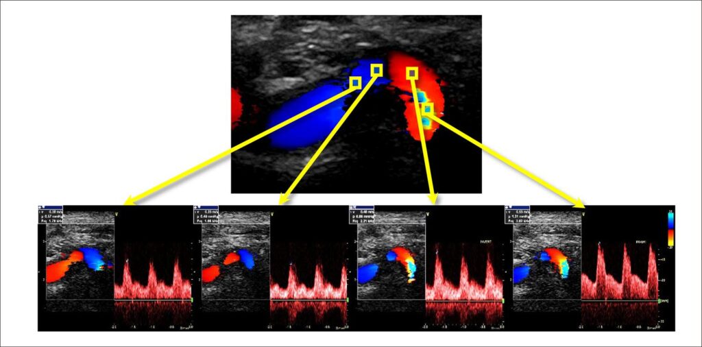
This article provides step-by-step guidance on how I investigate, classify and evaluate dolichoarteriopathies anatomically and hemodynamically, often found in the carotid and vertebral arteries. Dolichoarteriopathies may be present in children, disappearing during growth and reappearing with increasing age. Previously considered benign anatomic variations (AVs), discussion has arisen on the topic in view of new implications due to associations with cardiovascular events, risk factors, and various pathologies.
658

