Arq Bras Cardiol: Imagem cardiovasc 2022; 35(2): ecom24
My Approach to Transseptal Mitral Valve-In-Valve
DOI: 10.47593/2675-312X/20223502ecom24
Introduction
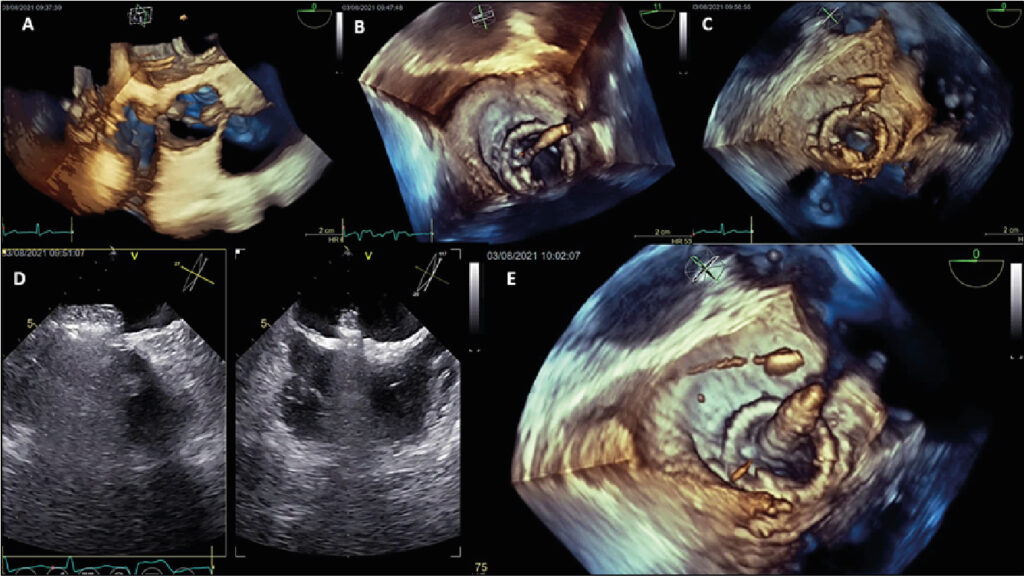
The percutaneous treatment of heart valve disease is a subject of great interest in cardiology. Percutaneous aortic valve implantation, first performed in 2002 by Alan Cribier, paved the way for transcatheter treatment of the mitral valve.
The first valve-in-valve (VIV) procedures were performed to treat deteriorated bioprosthetic valves in the aortic position. , In 2009, the group led by Dr. John Webb published the first successful case of mitral VIV. Since then, mitral VIV has been performed in numerous centers worldwide.
[…]
Keywords: Deart por Heart; Transthoracic Echocardiography; Treatment
548

