ABC Imagem Cardiovasc. 2025; 38(3): e20250057
My Approach to Three-Dimensional Echocardiography in Mitral Stenosis: How and When?
DOI: 10.36660/abcimg.20250057i
Abstract
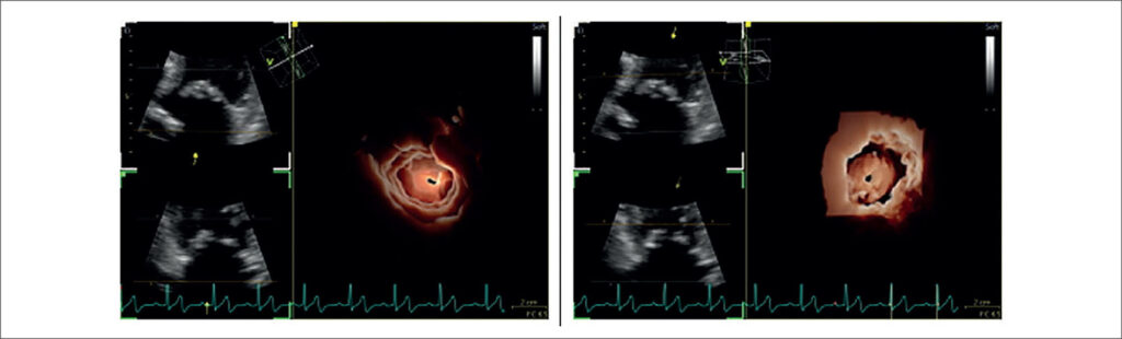
Three-dimensional echocardiography has become an essential tool in the assessment of mitral stenosis, allowing detailed anatomical analyses and reliable measurements, even in complex anatomies or extensive calcification. Based on daily clinical experience in an imaging laboratory, this article offers a practical guide for image acquisition and optimization, multiplanar reconstruction, and three-dimensional planimetry, focusing on technical adjustments, the use of tools such as rotation and cropping, and strategies for integrating the method into the routine workflow of cardiovascular imaging centers.
522

