Arq Bras Cardiol: Imagem cardiovasc. 2022; 35(1): eabc284
Intermittent Aortic Intraprosthetic Failure
DOI: 10.47593/2675-312X/20223501eabc284
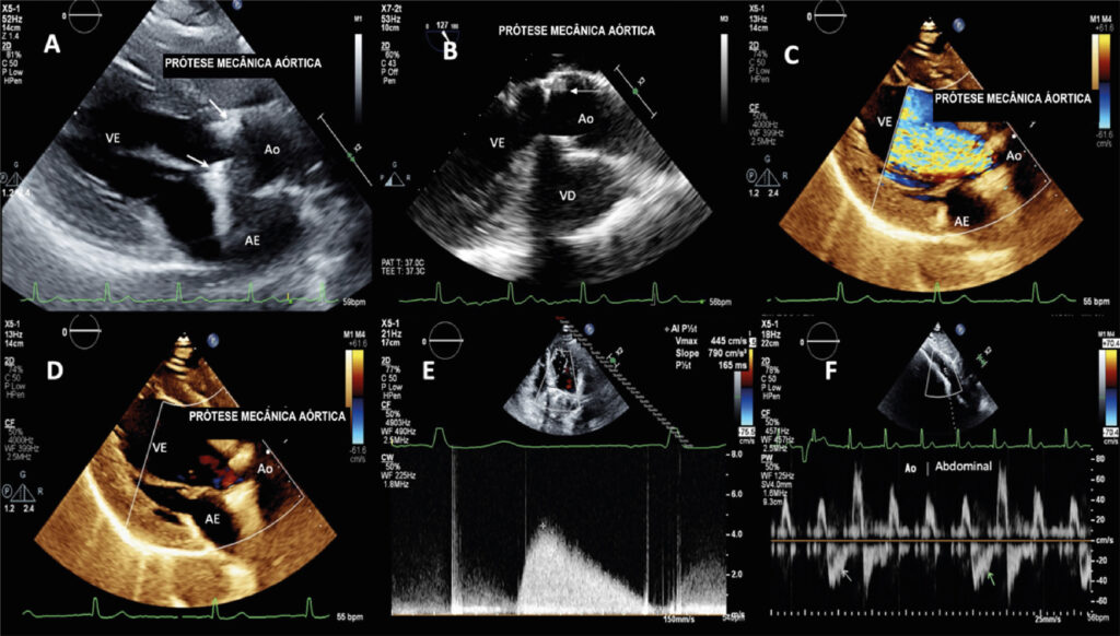
Intermittent mechanical prosthesis dysfunction is a rare and potentially serious complication1 – 4 that can affect prostheses in the aortic5 or mitral position. It causes obstruction or intermittent central regurgitation depending on the phase of the cardiac cycle in which the disk becomes stuck.3 The most common cause of this dysfunction is pannus formation,3 , 4 which may also occur due to thrombosis, mitral subvalvular tissue, suture material, vegetations, ventricular myocardium,3 or mechanical failure.2 Left untreated, transient mobility loss leads to permanent disk immobilization.3 In this scenario, a patient in whom a size 21 Carbomedics® metallic aortic prosthesis was implanted 14 years prior was referred for echocardiography due to abnormal cardiac auscultation findings. Transthoracic and transesophageal echocardiograms showed significant intermittent central prosthetic regurgitant jet unrelated to arrhythmias ( Figure 1 ; Videos 1 and 2 ). The mean prosthetic gradient was 29 mm Hg and the effective valve area was 1.08 cm². A refringent, periannular, fixed, sub- and supra-prosthetic image suggestive of pannus was also identified (Figure 2), which became the main etiological hypothesis for this unusual dysfunction presentation.
[…]
Keywords: Echocardiography; Heart Valve Prosthesis; Prosthesis Failure
273

