Arq Bras Cardiol: Imagem cardiovasc. 2022; 35(3): eabc308
Correlation Between Echocardiographic and Hemodynamic Measurements in Right Atrium and Right Ventricle Assessments of Patients with Pulmonary Hypertension
DOI: 10.47593/2675-312X/20223503eabc308
Abstract
Introduction
Pulmonary hypertension (PH), a serious clinical condition, can lead to right ventricular systolic dysfunction (RVSD) with prognostic implications. Patients with suspected PH should undergo transthoracic echocardiography (TTE) for diagnosis and evaluation as the main screening and follow-up exam.
Objective
To verify the associations of and agreement between measurements of mean pressure in the right atrium (RA) and RVSD with TTE
Method
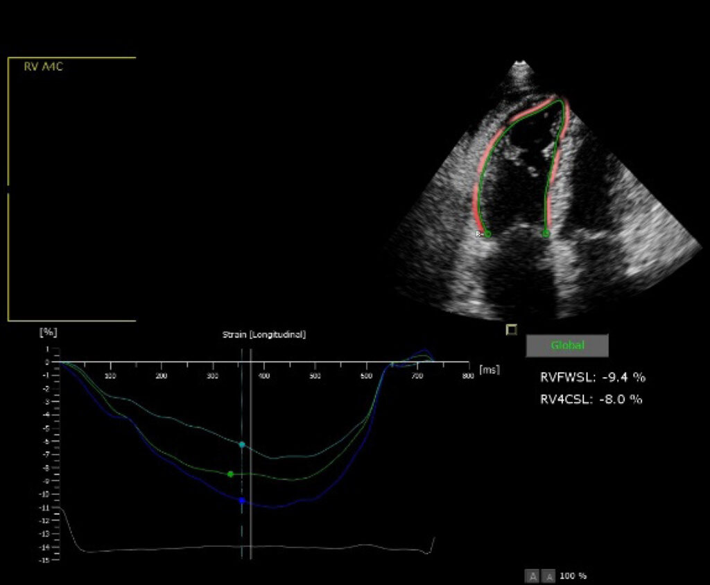
Individuals diagnosed with PH were included. All patients underwent TTE and RCC. The following were evaluated by TTE: right atrial area (RAA), mean right atrial pressure through the diameter and collapsibility of the inferior vena cava (RMAPTTE), RA strain (RAS), tricuspid annular plane systolic excursion, fractional area change, RV free wall strain, and tricuspid s’ wave. Mean RA pressure (RMAPRCC) and cardiac index (CI) were evaluated through the RCC.
Results
Of the 16 patients, 13 were female. The mean patient age was 44.4 (±14.9) years. An association was found between RMAPRCC and AAD, RMAPTTE, and RAS (r=0.845, r=0.621, and r=-0.523, respectively; p<0.05). There was an association between the mortality risk categories measured by the RAA and RMAPRCC measures (X2=10.42; p=0.003), with moderate agreement (k=0.44; p=0.012). RVSDJ was present in 10 patients. There was an association between RVSD (present or absent) and CI (r=0.522; p=0.04) with moderate agreement (k=0.43; p=0.037).
Conclusion
The TTE and RCC measurements showed an association in the assessment of mean right atrial pressure, especially between RAA and RMAPRCC. An association with RVSD and moderate agreement between methods were also noted.
Keywords: Catheterization; Echocardiography; Hypertension; Pulmonary; Right; Ventricular dysfunction
322

